You are here: Home » Diagnosis » Spinal Stenosis
Spinalkanalstenose
A spinal stenosis is a medical condition which developes very slowly. During the first few years it shows only mild symptoms but the discomfort can increase exponentially during time. You can easily compare this phenomenon with a biological system which when all backup possibilities are depleted. In most of the cases the pain comes up after short distances of walking and irradiates in both thighs. The walking distance until the pain appears can vary between one kilometer or only several meters. It is very common that small breaks, sitting down or bending down mitigates the pain. In some cases the spinal stenosis can cause weakness, sensation problems or even bladder disfunctions. Normally the ability to bike is not impaired which enables the physician to differentiate between a spinal stenosis and a narrowing of a vessel.
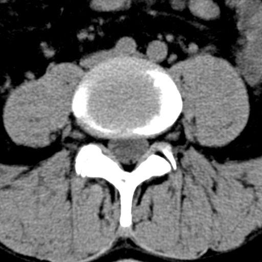
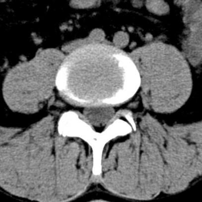
In most of the cases a spinal stenosis has its origin in a degenerative disease. The attrition of the intervertebral disks can lead to a minimal loosening which causes an abnormal flexibility of the disk. If only two neighbouring disks are in a different position to each other this can lead to a narrowing of the spinal canal. The human body tries to compensate this narrowing by increasing the size of ligaments or joints which can lead to a further reduction of the diameter of the spinal canal. Especially in the region of the cervical spine the body tries to compensate this stenosis by building up new bone tissue which then compresses the nerves.
A slipped disk can also be the reason for a spinal stenosis.
Cervical spine
Usually it is enough to organize a nuclear resonance imaging for diagnosing a stenosis at the region of the cervical spine. If there is the suspicion that the spinal cord has been damaged it is necessary to perform an electropysiological examination to ensure the conductivity of the nerves.
Lumbal spine
Similar to the cervical spine it is enough to initiate an X- ray or a nuclear resonance imaging. If the patient suffers from slipped vertebral bodies or a multiple stenosis it is most helpful to perform a myelographic imaging to get the best impression.
Only in very rare cases it is enough to perform only a conservative therapy but mostly the patient will experience the most benefit from an operational extension of the spinal canal. There is the possibility to perform a sacral blocking but this is only for short term treatment. Many studies have shown that the life quality of the patients increases dramatically after an operation.
In which case an operation is recommended?
The most important question which we take into consideration is how we can improve the patients life quality in the best way. As long as there is no neurological damage the only fact of matter is your personal life quality. In some cases, when it comes to a paralysis or a bladder disfunction an operational intervention is definitely needed.
Before it really comes to an operation we have a lot of different conservative treatment possibilities. In our pain center we can offer you many different drug based therapies, as well as individual syringes or even an intensive pain treatment at the hospital.
As long as there is no neurological damage the only fact of matter is your personal life quality. In some cases, when it comes to a paralysis or a bladder disfunction an operational intervention is definitely needed.
Before it really comes to an operation we have a lot of different conservative treatment possibilities. In our pain center we can offer you many different drug based therapies, as well as individual syringes or even an intensive pain treatment at the hospital.
Artikel zum Thema Spinalkanalstenose deutsches Ärzteblatt 2013
The best way to treat a spinal stenosis is to enlarge the spinal canal during a microsurgical operation. With the help of a special operation microscope it is possible to prepare the spinal canal from one side and enlarge it to all sides. This procedure is also called “bilateral spinal decompression from unilateral”.
This procedure is very gentle compared to previous procedures when the spinal canal got prepared from both sides. In the unilateral procedure the ligaments, muscles and joints from one side do not get harmed
The best way to treat a spinal stenosis is to enlarge the spinal canal during a microsurgical operation. With the help of a special operation microscope it is possible to prepare the spinal canal from one side and enlarge it to all sides. This procedure is also called “bilateral spinal decompression from unilateral”.
This procedure is very gentle compared to previous procedures when the spinal canal got prepared from both sides. In the unilateral procedure the ligaments, muscles and joints from one side do not get harmed




